Leistungen

Wir sind ein Labor, welches sich auf biokombatiblen (biologischen), metallfreien und ästhetischen Zahnersatz spezialisiert hat:

  • Vollkeramik (Zirkon, Vollzirkon, e.max, Empress)

  • Inlays, Table-Tops und Veneers (auch Non-Präp)

  • Teleskoptechnik (Vollkeramik/ Galvano, Gold, ER, NEM mit Friktionsteilchen)
    NEU: jetzt auch metallfrei in Polyetheretherketon (PEEK)

  • Implantatkonstruktionen ( diverse Hersteller)

Zudem fertigen wir noch folgende Arbeiten:

  • Kunststoff/ Keramikverblendtechnik
  • Geschiebe/ Riegelarbeiten
  • Totalprothetik (auch individualisiert)
  • Modellgusstechnik
  • Schienen aller Art
  • Bohr/ Röntgenschablonen
  • Bleachingschienen
  • Sportmundschutz

Valplast Prothetik

Kennen Sie Valplast? Die neue Flexibilität in der Prothetik?

Valplast ist ein flexibles Prothesenmaterial aus biokompatiblem, hochreinen Nylon (Polamid)und bietet hervorragende Material- und Trageeigenschaften- bei gleichzeitig unübertroffener Ästhetik.

Valplast Prothesen bietet eine hohe Ästhetik und halten ohne Metallklammer.

Valplast Prothesen bietet eine hohe Ästhetik und halten ohne Metallklammer.

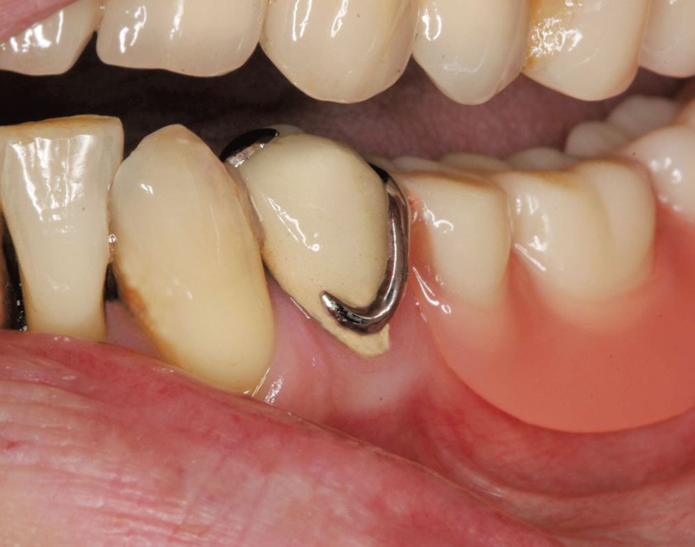
Metallklammern der Modellgussprothese sind im Mund deutlich sichtbar.

Metallklammern der Modellgussprothese sind im Mund deutlich sichtbar.

Anwendungsbereiche:

  • Teilprothese als hochwertige Alternative zum Modellguss
  • Interims- und Immediatversorgung, besonders bei Implantatpatienten
  • provisorischer Einzelzahnersatz und Langzeitprovisorien
  • Kinderprothesen

Valplast hat hervorragende Eigenschaften

Flexibilität

Valplast ist flexibel und absolut bruchstabil bei gleichzeitig filigraner Gestaltung. Valplast ist daher leichter als herkömmliche Kunststoffprothesen und bietet daher einen unübertroffenen Tragekomfort.

Ästhetik

Die Transparenz von Valplast bewirkt, dass die natürliche Zahnfleischfarbe durchscheint. Es gibt keine Metallklammern, die das harmonische Gesamtbild stören.

Optimal für Allergiepatienten

Valplast ist eine ausgezeichnete Alternative für Kunststoffallergiker. Es besteht aus hochreinem Nylon und ist frei von Methylmetacrylat, Benzolperoxid und Metallen.

Zuverlässigkeit

Millionen von Prothesenträgern haben die hohe Zuverlässigkeit von Valplast bewiesen. Es ist unempfindlich gegenüber Plaque und Verfärbungen und vermeidet eine unnötige Belastung von Restzähnen und der Knochensubstanz.

Vorteile von Valplast

Ästhetisch
Unzerbrechlich
Allergiefrei
Metallfrei
Plaqueunempfindlich
Absorbiert keine Gerüche
Flexibel
Hervorragender Tragekomfort
Grazile Gestaltung
Unterfütterbar
CE-zertifiziertes Medizinprodukt

Silensor-sl Schnarchschutz

Schnarchen tritt im Bereich der oberen Atemwege auf, wenn der Luftstrom durch die verengten Atemwege (insbesondere im Rachenbereich) beschleunigt wird.

Dies führt dazu, dass flexible Gewebeteile zu vibrieren beginnen, was das Schnarchgeräusch verursacht. Der Silensor-sl ist eine Unterleibsprotrusionsschiene, die entwickelt wurde, um zu verhindern, dass der Unterkiefer während des Schlafs nach hinten absinkt. Zahlreiche Studien haben die Wirksamkeit von Unterleibsprotrusionsschienen, einschließlich des besonders komfortablen Silensor-sl, bestätigt.

Für weitere Informationen zur Schnarchschutzschiene stehen Ihnen zusätzliche Details zur Verfügung:
Download Patientenflyer

Das Schnarchen

In Industrienationen leiden bis zu 40 % der Bevölkerung unter Schnarchproblemen, die durch eine Abnahme der Muskelspannung während des Schlafes verursacht werden. Dies führt zu einer Verengung der oberen Atemwege, wodurch der Luftstrom beschleunigt wird und verschiedene Gewebestrukturen in den oberen Atemwegen anfangen zu vibrieren, was das Schnarchgeräusch hervorruft. Schnarchen ist somit ein mechanischer Prozess, der auf mechanische Weise behandelt werden kann. Die zahnärztliche Therapie zielt darauf ab, hier anzusetzen. Es ist wichtig zu beachten, dass leichtes oder gelegentliches Schnarchen keine nachteiligen gesundheitlichen Auswirkungen hat, während pathologisches Schnarchen, auch bekannt als Rhonchopathie, ernsthafte gesundheitliche Konsequenzen haben kann.

Die Schlafapnoe, das Auftreten von Atemaussetzern während des Schlafs

Die Schlafapnoe sollte ab einem bestimmten Schweregrad ernsthaft in Betracht gezogen werden, da sie nicht nur zu Tagesmüdigkeit führt, sondern auch zu schwerwiegenden systemischen Gesundheitsproblemen beitragen kann. Die Apnoe selbst ist ein vollständiger Atemstillstand, wobei bei der obstruktiven Apnoe die Atemwege vollständig blockiert sind und bei der zentralen Apnoe der zentrale Atemreflex unterbrochen ist. Die Hypopnoe tritt auf, wenn der Atemfluss um mehr als 50 % reduziert ist.

Der Apnoe/Hypopnoe Index (AHI) dient als Maß für die Schwere der Erkrankung und wird errechnet, indem die Anzahl der Apnoen und Hypopnoen durch die geschlafenen Stunden geteilt wird. Ein AHI-Wert von 0 bis 5 gilt als normal, während Werte zwischen 5 und 10 auf eine leichte, zwischen 10 und 20 auf eine mittelschwere und Werte über 20 auf eine schwere Erkrankung hinweisen. Bei obstruktiver Apnoe sind Unterbrechungen im sehr lauten Schnarchen (Rhonchopathie) charakteristisch, während zentrale Apnoen oft keine äußerlichen Anzeichen aufweisen.

Die Funktionsweise des Silensor-sl erklärt sich wie folgt:

Der Silensor-sl setzt sich aus jeweils einer durchsichtigen Schiene für den Oberkiefer und den Unterkiefer zusammen. Durch das seitliche Verbinden der beiden Schienen mit zwei Zügen wird der Unterkiefer in Position gehalten oder leicht nach vorne bewegt. Auf diese Weise konterkariert der Silensor-sl die Verengung der Atemwege. Die Luftgeschwindigkeit nimmt ab, wodurch das flatternde Geräusch der Weichteile verringert wird.

Der Silensor-sl ermöglicht Kieferbewegungen, aber verhindert das Zurückfallen des Unterkiefers. Diese Eigenschaft macht den Silensor-sl zu einer komfortablen und gleichzeitig wirksamen Lösung zur Reduzierung des Schnarchens. Klinische Studien haben gezeigt, dass die leichte Vorverlagerung des Unterkiefers bei über 80% der Patienten das Schnarchen erheblich reduziert und den Apnoeindex um bis zu 50% senken kann.